WhatsApp Max VK Telegram Задать вопрос
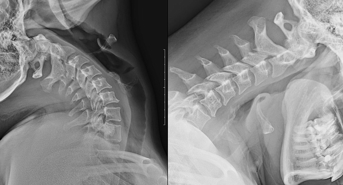
Рентгенография одного отдела позвоночника: функциональные пробы

Рентгенография одного отдела позвоночника: функциональные пробы

Рентгенография одного отдела позвоночника: функциональные пробы – важный метод скринингового исследования, который позволяет оценить состояние отдела позвоночника.

Диагностическая услуга выполняется в двух проекциях.

Показания для проведения рентгена отдела позвоночника с функциональными пробами:

  • головные боли;
  • дискомфорт в позвоночнике, усиливающийся при наклонах и поворотах;
  • оценка подвижности позвонков, их патологическое смещение.

Для предотвращения и своевременного выявления проблем рекомендуется проходить регулярные профилактические осмотры у специалистов. Важно не игнорировать симптомы и обращаться за медицинской помощью при необходимости.

Обратитесь к профессионалам наших медицинских центров для проведения этой процедуры и получения квалифицированной медицинской помощи.

Подготовка к рентгену отдела позвоночника с функциональными пробами:

Специальной подготовки к проведению исследования не требуется.

Как проводится рентген отдела позвоночника с функциональными пробами:

Процесс проведения медицинских исследований в нашей сети осуществляется оперативно и эффективно.

Сканирование выполняется в течение 10 минут, что позволяет быстро получить необходимую информацию.

Результаты исследования обычно готовы в течение дня, но при острой патологии они могут быть предоставлены сразу.

Ваш браузер устарел рекомендуем обновить его до последней версии
или использовать другой более современный.