WhatsApp Max VK Telegram Задать вопрос
Маммография Маммография

Маммография

Маммография – это тип специального медицинского обследования, которое проводится с применением системы рентгена с малыми дозами облучения для исследования груди женщины (и мужчины - по показаниям).

Аппарат, на котором врач проводит данное исследование, называется — маммограф. Исследование на нем позволяет выявить болезни молочных желез на ранних стадиях, в том числе и такие опасные, как рак молочных желез.

Рентгенография одной молочной железы проводится только в случае отсутствия второй молочной железы.

Показания для проведения маммографии:

  • Скрининг (женщины старше 40 лет);
  • Показания специалиста для уточнения диагноза;
  • Риск онкологических заболеваний молочных желез;
  • Уплотнение, боль в груди;
  • Воспаление и покраснение кожи молочной железы;
  • Изменения размеров груди;
  • Выделения из соска;
  • Утолщения соска.

До 35 лет - только при пальпируемых образованиях и отягощенном анамнезе.

Для предотвращения и своевременного выявления проблем рекомендуется проходить регулярные профилактические осмотры у специалистов. Важно не игнорировать симптомы и обращаться за медицинской помощью при необходимости.

Обратитесь к профессионалам наших медицинских центров для проведения этой процедуры и получения квалифицированной медицинской помощи.

Подготовка к маммографии:

Исследование проводится на 5-12 день цикла (1-й день начала последней менструации). В период менопаузы и при менструальной дисфункции – в любой день.

В день прохождения маммографии не пользуйтесь дезодорантом, антиперспирантом, тальком или лосьоном. Подмышечная область должна быть чистой и свободной от этих и других средств личной гигиены.

Как проводится маммография?

С собой необходимо иметь данные предыдущих исследований (диски, заключения); выписки, эпикризы, анализы и другую медицинскую документацию.

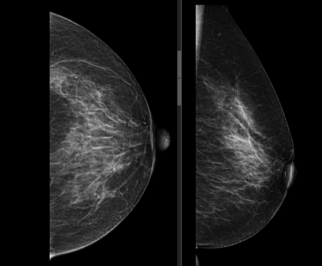
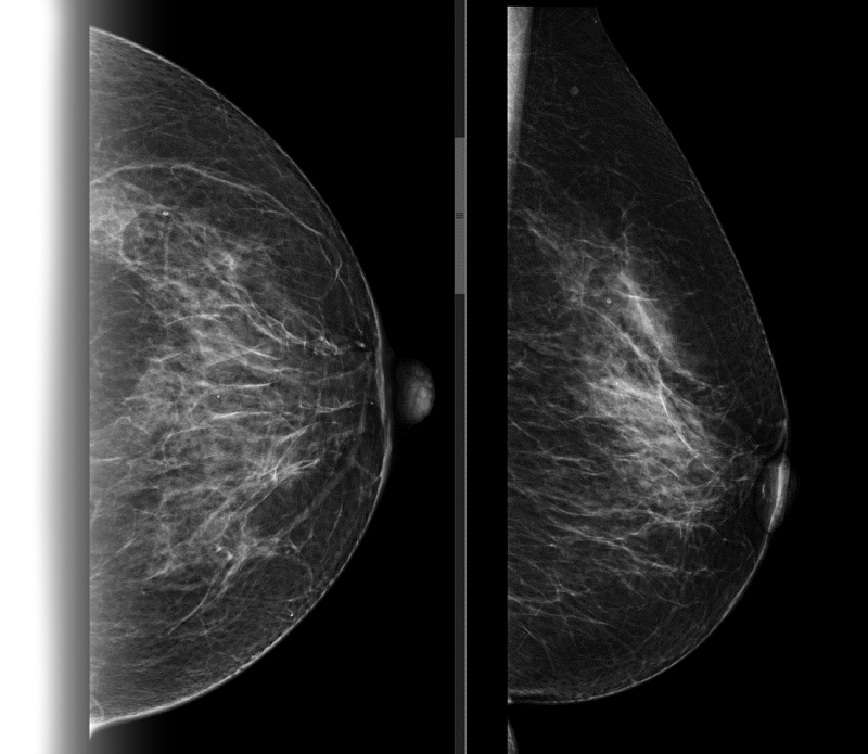
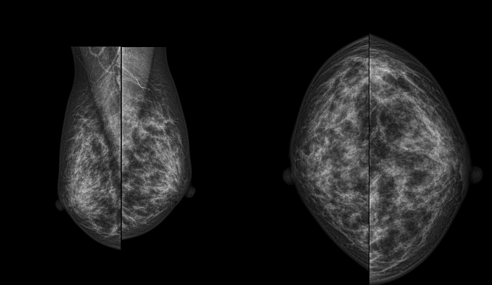
Исследование проводится стоя, предварительно сняв верхнюю и нижнюю одежду области исследования, а также все украшения в области зоны интереса. Для получения четких и подробных снимков, молочную железу располагают между двух пластин маммографа, которые слегка сдавливая, фиксируют ее в неподвижном положении, добиваясь равномерного распределения тканей. Затем специалист делает снимок молочной железы в боковой и прямой проекции. Исследуются поочередно обе груди.

Процесс проведения медицинских исследований в нашей сети осуществляется оперативно и эффективно.

Диагностика выполняется в течение 20 минут.

Результаты исследования обычно готовы в течение дня, но при острой патологии они могут быть предоставлены сразу.

Ваш браузер устарел рекомендуем обновить его до последней версии
или использовать другой более современный.