WhatsApp Max VK Telegram Задать вопрос
МРТ крестцово-подвздошных сочленений с контрастом МРТ крестцово-подвздошных сочленений с контрастом

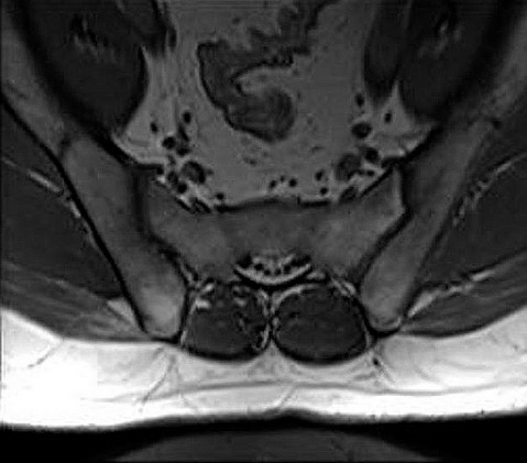
МРТ крестцово-подвздошных сочленений с контрастом

Магнитно-резонансная томография крестцово-подвздошных сочленений с контрастированием – важный метод исследования с введением контрастного вещества, которое позволяет визуализировать крестец, подвздошные кости, окружающие мягкие ткани.

Для предотвращения и своевременного выявления проблем рекомендуется проходить регулярные профилактические осмотры у специалистов. Важно не игнорировать симптомы и обращаться за медицинской помощью при необходимости.

Обратитесь к профессионалам наших медицинских центров для проведения этой процедуры и получения квалифицированной медицинской помощи.

Показания для проведения МРТ крестцово-подвздошных сочленений с контрастом:

  • Постоянные боли в нижней части спины;
  • боли вследствие травматических повреждений;
  • отек сустава;
  • переломы;
  • вывихи;
  • растяжения;
  • нарушение подвижности и онемение.

Подготовка к МРТ крестцово-подвздошных сочленений с контрастом:

Специальной подготовки к проведению исследования не требуется.

Как проводится МРТ крестцово-подвздошных сочленений с контрастом?

Перед укладкой в томограф необходимо снять все металлические предметы. Перед процедурой устанавливается внутривенный катетер для введения контрастного препарата непосредственно во время исследования. После этого пациент ложится на стол сканера, который постепенно перемещается в аппарат. Во время сканирования следует лежать неподвижно, чтобы получаемые изображения были четкими и неискаженными.

Процесс проведения медицинских исследований в нашей сети осуществляется оперативно и эффективно.

  Исследование длится 60 минут.

  Протокол исследования выдается на руки: при наличии неотложного состояния - немедленно, в остальных случаях - в течение дня.

  Результаты исследования обычно готовы в течение дня, но при острой патологии они могут быть предоставлены сразу.

После исследования вы получаете:

  • высококачественные снимки органов и тканей;
  • подробную расшифровку результатов;
  • возможность детального разбора с участием врачебного консилиума.
Ваш браузер устарел рекомендуем обновить его до последней версии
или использовать другой более современный.