МРТ головного мозга при вазоневральном конфликте МРТ головного мозга при вазоневральном конфликте

МРТ головного мозга при вазоневральном конфликте

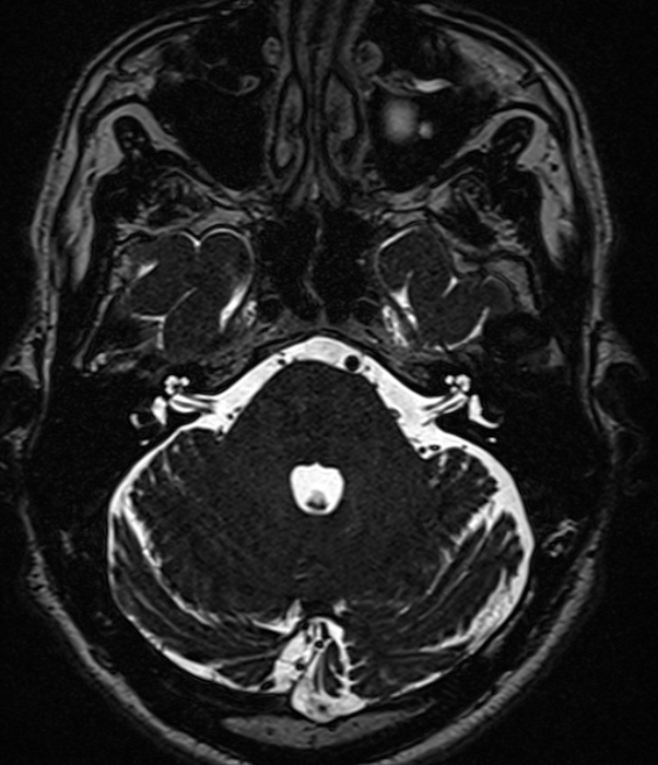
МРТ головного мозга при вазоневральном конфликте (тройничный нерв, вестибулокохлеарный нерв, мостомозжечковый угол) – важный метод исследования, который позволяет оценить структуры мосто-мозжечковых углов, взаимоотношения артерий и черепно-мозговых нервов.

Для предотвращения и своевременного выявления проблем рекомендуется проходить регулярные профилактические осмотры у специалистов. Важно не игнорировать симптомы и обращаться за медицинской помощью при необходимости.

Обратитесь к профессионалам наших медицинских центров для проведения этой процедуры и получения квалифицированной медицинской помощи.

Показания для проведения МРТ головного мозга при вазоневральном конфликте:

  • шум в ушах;
  • снижение слуха;
  • головокружение;
  • невралгия тройничного нерва;
  • гемифациальный спазм.

Подготовка к МРТ головного мозга при вазоневральном конфликте:

Специальной подготовки к проведению исследования не требуется.

Как проводится МРТ головного мозга при вазоневральном конфликте?

Перед укладкой в томограф необходимо снять все металлические предметы. После этого пациент ложится на стол сканера, который постепенно перемещается в аппарат. Во время сканирования следует лежать неподвижно, чтобы получаемые изображения были четкими и неискаженными.

Процесс проведения медицинских исследований в нашей сети осуществляется оперативно и эффективно.

  Исследование длится 40 минут.

  Результаты исследования обычно готовы в течение дня, но при острой патологии они могут быть предоставлены сразу.

После исследования вы получаете:

  • высококачественные снимки органов и тканей;
  • подробную расшифровку результатов;
  • возможность детального разбора с участием врачебного консилиума.
Ваш браузер устарел рекомендуем обновить его до последней версии
или использовать другой более современный.