WhatsApp Max VK Telegram Задать вопрос
МРТ гиппокампов МРТ гиппокампов

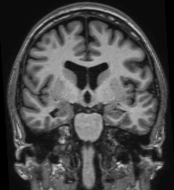
МРТ гиппокампов

Магнитно-резонансная томография гиппокампов – важный метод исследования, который позволяет оценить состояние гиппокампов.

Для предотвращения и своевременного выявления проблем рекомендуется проходить регулярные профилактические осмотры у специалистов. Важно не игнорировать симптомы и обращаться за медицинской помощью при необходимости.

Обратитесь к профессионалам наших медицинских центров для проведения этой процедуры и получения квалифицированной медицинской помощи.

Показания для проведения МРТ гиппокампов:

  • возникновение парциальных приступов в любом возрасте;
  • возникновение генерализованных или неклассифицированных приступов в течение первого года жизни или в зрелом возрасте;
  • трудности в контроле приступов противоэпилептическими препаратами.

Подготовка к МРТ гиппокампов:

Специальной подготовки к проведению исследования не требуется.

Как проводится МРТ гиппокампов?

Перед укладкой в томограф необходимо снять все металлические предметы. После этого пациент ложится на стол сканера, который постепенно перемещается в аппарат. Во время сканирования следует лежать неподвижно, чтобы получаемые изображения были четкими и неискаженными.

Процесс проведения медицинских исследований в нашей сети осуществляется оперативно и эффективно.

  Исследование длится 40 минут.

  Результаты исследования обычно готовы в течение дня, но при острой патологии они могут быть предоставлены сразу.

После исследования вы получаете:

  • высококачественные снимки органов и тканей;
  • подробную расшифровку результатов;
  • возможность детального разбора с участием врачебного консилиума.
Ваш браузер устарел рекомендуем обновить его до последней версии
или использовать другой более современный.