МРТ мочевыделительной системы МРТ мочевыделительной системы

МРТ мочевыделительной системы

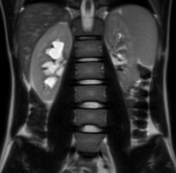
Магнитно-резонансная томография мочевыделительной системы – важный метод исследования, который позволяет оценить состояние почек, надпочечников и мочевыводящих путей.

В нашей сети проводятся следующие виды МРТ мочевыделительной системы:

  • МРТ почек и надпочечников
  • МРТ мочевыделительной системы с бесконтрастной урографией

Для предотвращения и своевременного выявления проблем рекомендуется проходить регулярные профилактические осмотры у специалистов. Важно не игнорировать симптомы и обращаться за медицинской помощью при необходимости.

Обратитесь к профессионалам наших медицинских центров для проведения этой процедуры и получения квалифицированной медицинской помощи.

Показания для проведения МРТ мочевыделительной системы:

  • гематурия;
  • боль в поясничной области;
  • повышение артериального давления;
  • подозрение на пиелонефрит;
  • подозрение на опухоль почек или надпочечников.

Подготовка к МРТ мочевыделительной системы:

К МРТ мочевыделительной системы необходима тщательная подготовка!

Диета за 2 суток

Нельзя продукты, усиливающие газообразование в кишечнике:

Нужно продукты, уменьшающие газообразование в кишечнике:

  • творог, сливочный сыр, сметана, мороженое, йогурт
  • фрукты, соки
  • бобовые, грибы, капуста (в т.ч. квашеная)
  • хлеб и кондитерские изделия, сладости
  • алкогольные напитки
  • газированные напитки, в т.ч. квас
  • мед, заменители сахара (в т.ч. жевательная резинка)
  • безлактозное/овсяное/рисовое молоко
  • куриное яйцо
  • отварное мясо, каши
  • арахис, грецкий орех

Подготовка кишечника

Не требуется

Диета в день исследования

  • Не есть последние 4 часа до исследования
  • Пить простую воду без ограничений

Препараты

За 30 минут до исследования – Но-шпа (обычная по 40 мг, не Форте), 3 таблетки

Взять с собой

  • Данные предыдущих исследований (диски, заключения)
  • Выписки, эпикризы, анализы и другую медицинскую документацию

Явка

За 20 минут до исследования

Соблюдение указанных рекомендаций поможет обеспечить эффективное проведение исследования мочевыделительной системы и получение точной картины для назначения соответствующего лечения.

Как проводится МРТ мочевыделительной системы?

Перед укладкой в томограф необходимо снять все металлические предметы. После этого пациент ложится на стол сканера, который постепенно перемещается в аппарат. Во время сканирования следует лежать неподвижно, чтобы получаемые изображения были четкими и неискаженными.

Процесс проведения медицинских исследований в нашей сети осуществляется оперативно и эффективно.

  МРТ почек и надпочечников длится 40 минут.

  МРТ мочевыделительной системы с бесконтрастной урографией длится 60 минут.

  Результаты исследования обычно готовы в течение дня, но при острой патологии они могут быть предоставлены сразу.

1.png

После исследования вы получаете:

  • высококачественные снимки органов и тканей;
  • подробную расшифровку результатов;
  • возможность детального разбора с участием врачебного консилиума.
Ваш браузер устарел рекомендуем обновить его до последней версии
или использовать другой более современный.